Peds-Gastrointestinal - Ascites
Caption
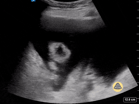
Ascites with floating bowel and questionable to-and-fro peristalsis. Contributor: Peter Gutierrez, MD, FAAP, Emory University School of Medicine/Children's Healthcare of Atlanta, @pocuspete
Ascites with floating bowel and questionable to-and-fro peristalsis. Contributor: Peter Gutierrez, MD, FAAP, Emory University School of Medicine/Children's Healthcare of Atlanta, @pocuspete