Peds-Gastrointestinal - Pyloric Stenosis - Antral Nipple Sign

← Back to List

Peds-Gastrointestinal - Pyloric Stenosis - Antral Nipple Sign

Caption

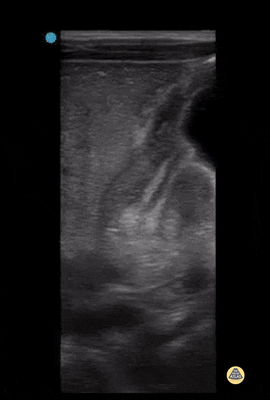
3 week old with projectile vomiting, POCUS showed positive astral nipple sign which is a highly specific finding for pyloric stenosis - the redundant pyloric mucosa protrudes into the gastric antrum. The measurements show increased pyloric muscle thickness (>3mm) and increased pyloric longitudinal measurement (>15 - 17 mm) Measurements can be remembered using "Pi Rule" - Pyloric muscle thickness, i.e. diameĀ­ter of a single muscular wall on a transverse image >3 mm - Pyloric transverse diameter >14 mm - Pyloric longitudinal measurement >15 - 17 mm Contributed by: Dimitri Livshits DO, Ultrasound Fellow; Jane Belyavskaya MD, Ultrasound Fellow; Chris Hanuscin MD, Ultrasound Division Director (Kings County/SUNY Downstate)

Source

https://www.thepocusatlas.com/pedsgastrointestinal


Metadata