Peds-Gastrointestinal - Pyloric Stenosis (Transverse)

← Back to List

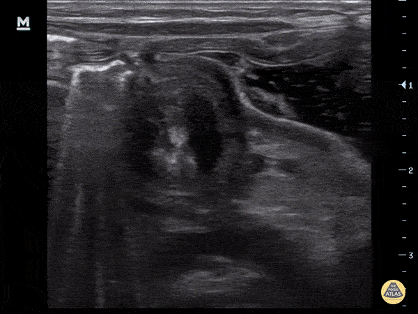
Peds-Gastrointestinal - Pyloric Stenosis (Transverse)

Caption

4-week-old, vomiting intermittently for 2 weeks, seen PCP 3 days ago, reassured. Revisit today and PCP concerned for pyloric stenosis, so referred to ED. Exam in ED reassuring for well-appearing neonate. In ED, POCUS completed revealing hypertrophic pyloric stenosis. Pylorus muscle hypertrophied and thickened in both transverse and logitudinal view. Transverse view demonstrates the classic target sign seen in pyloric stenosis. Dr. Sathya Subramaniam, Pediatric EM Fellow - Kings County/SUNY Downstate

Source

https://www.thepocusatlas.com/pedsgastrointestinal


Metadata