Peds-Gastrointestinal - Appendicitis (2/2) - Transverse

← Back to List

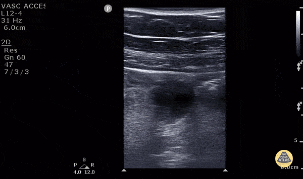
Peds-Gastrointestinal - Appendicitis (2/2) - Transverse

Caption

11 y/o M presented with 1 day of periumbilical pain that migrated to the right lower quadrant with nausea, vomiting and anorexia. Ultrasound with high frequency linear probe demonstrates an enlarged appendix with an external diameter of 1.32 cm with trace free fluid posteriorly, as well as a fecalith at the proximal end of the appendix. Surgery was consulted who requested a formal US which was non-diagnostic. Surgery took the patient anyway, and MRI confirmed our findings (including the large diameter). Diagnostic criteria for appendicitis: a non-compressible, aperistaltic, blind ended structure >6mm diameter. Visualizing free fluid, tenderness in that area, and visualizing a fecalith can also add to the diagnosis. See the evidence atlas for more info about POCUS diagnosing appendicitis but when visualizing a diagnostic appendicitis, it carries a positive likelihood ratio of 9.24. PMID: 28214369 Jackie Chiou MS4, Dr. Matthew Riscinti and Dr. Tian Liang - Kings County Emergency Medicine

Source

https://www.thepocusatlas.com/pedsgastrointestinal


Metadata