Peds-Gastrointestinal - Pediatric Acute Appendicitis

← Back to List

Peds-Gastrointestinal - Pediatric Acute Appendicitis

Caption

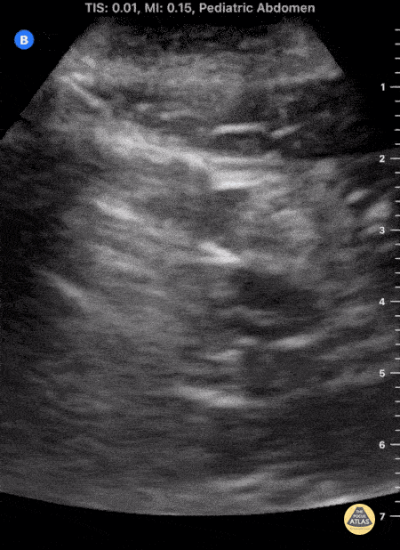
Teenage male presenting with abdominal pain worsening over 24 hours, diagnosed with acute appendicitis via POCUS. The clip shows a circular structure which measures at 6.5 mm transversely, representing an acutely inflamed appendix with surrounding anechoic free fluid. POCUS Acute Appendicitis: noncompressible, diameter >6mm, single wall >3mm are direct signs of appendicitis. Use of POCUS for diagnosis of acute appendicits significantly reduces cost and radiation exposure for patients without sacrificing diagnostic accuracy. Mostbeck, G., Adam, E.J., Nielsen, M.B. et al. How to diagnose acute appendicitis: ultrasound first. Insights Imaging 7, 255–263 (2016). Contributor: C. Malcolm Roberson, MD. @ProjectUltraEM

Source

https://www.thepocusatlas.com/pedsgastrointestinal


Metadata