Peds-Genitourinary - Hematocolpos

← Back to List

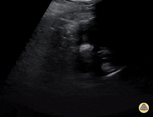
Peds-Genitourinary - Hematocolpos

Caption

14 year old female presenting with acute on chronic abdominal pain. Physical exam revealed gross abdominal distension in the pelvic region. She denied hematuria, dysuria, or sensation of incomplete voiding. No menarche reported. In this clip, the patient's bladder is difficult to visualize due to the mass effect of the enlarged, blood-filled vagina. The uterus contains blood as well, but to a much lesser degree than the vagina. Contributor: Jaron Smith, MD Phoenix Children's Hospital

Source

https://www.thepocusatlas.com/pedsgenit


Metadata