Peds-Genitourinary - Normal Kidney
Caption
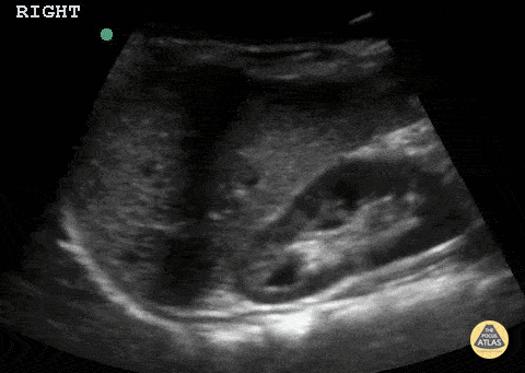
2 year female with history of febrile UTI. Normal right kidney. Note the hypoechoic renal pyramids, which can be misinterpreted as being hydronephrosis. Contributor: Matthew Moake, MD PhD
2 year female with history of febrile UTI. Normal right kidney. Note the hypoechoic renal pyramids, which can be misinterpreted as being hydronephrosis. Contributor: Matthew Moake, MD PhD