Peds-Genitourinary - Renal Cyst
Caption
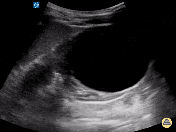
Healthy 7 year old male modeling for educational US scanning. Found to have large simple large renal cyst. Contributor: Matthew Moake, MD PhD
Healthy 7 year old male modeling for educational US scanning. Found to have large simple large renal cyst. Contributor: Matthew Moake, MD PhD