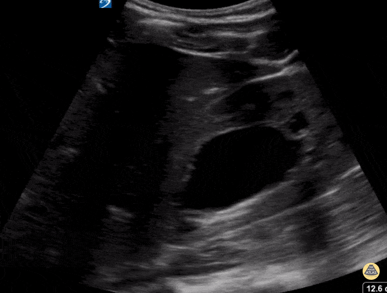
Peds-Genitourinary - Severe Hydronephrosis

← Back to List

Peds-Genitourinary - Severe Hydronephrosis

Caption

16 year old with right sided flank pain. Patient found to have severe hydronephrosis. Contributor: Kathryn Pade, MD

Source

https://www.thepocusatlas.com/pedsgenit


Metadata