Peds-Genitourinary - Hydronephrosis
Caption
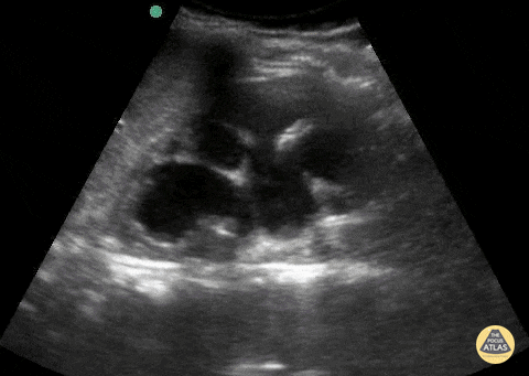
11 year old male presenting for left flank pain and headache. POCUS with severe left sided hydronephrosis without stone. Contributor: Matthew Moake, MD PhD
11 year old male presenting for left flank pain and headache. POCUS with severe left sided hydronephrosis without stone. Contributor: Matthew Moake, MD PhD