Peds-Genitourinary - Orchitis (2 of 2)

← Back to List

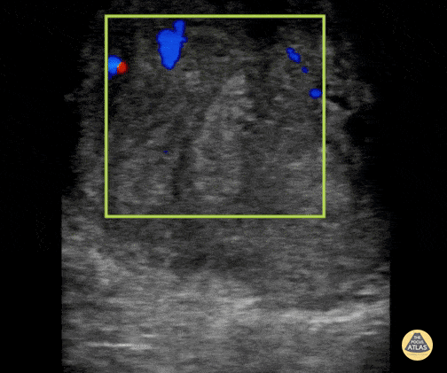
Peds-Genitourinary - Orchitis (2 of 2)

Caption

16 year old male with right testicular pain and swelling presented to the emergency department, a POCUS was done showing increased flow in the left testicle along with surrounding edema. This ultrasound clip demonstrates increased flow to the left testicle. This can be better appreciated when compared in a side by side view to the normal testicle. Diagnosis of orchitis was made and confirmed with radiology performed ultrasound. Contributor: Zach Boivin, MD, @ZachBoivinMD

Source

https://www.thepocusatlas.com/pedsgenit


Metadata