Peds-Genitourinary - Orchitis (1 of 2)

← Back to List

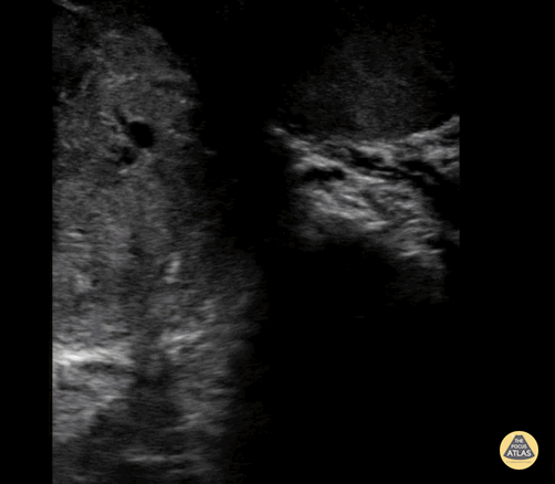
Peds-Genitourinary - Orchitis (1 of 2)

Caption

16 year old male with right testicular pain and swelling presented to the emergency department, a POCUS was done showing increased flow in the left testicle along with surrounding edema. This ultrasound clip demonstrates the enlarged testicle with surrounding edema. Diagnosis of orchitis was made and confirmed with radiology performed ultrasound. Contributor: Zach Boivin, MD, @ZachBoivinMD

Source

https://www.thepocusatlas.com/pedsgenit


Metadata