Peds-Genitourinary - Wilm's Tumor Case Series 2 of 2

← Back to List

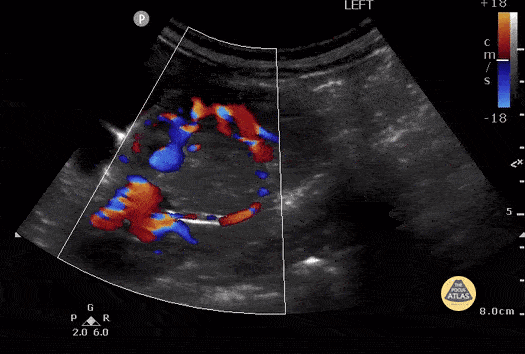
Peds-Genitourinary - Wilm's Tumor Case Series 2 of 2

Caption

Incidental finding of a Wilm's tumor in 3 yo female presenting to the PED with fever and lower abdominal pain. Educational scan that turned out to significantly alter management. Pt had right nephrectomy of localized tumor. Case Series 2 of 2 Contributor: Melinda Tonelli MD, University of Rochester, Rochester NY

Source

https://www.thepocusatlas.com/pedsgenit


Metadata