Aorta - AAA

← Back to List

Aorta - AAA

Caption

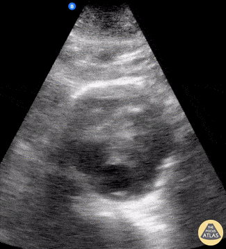
Emergency response was called for an 88-year-old who experienced sudden onset thoracic and back pain. PMH significant for AAA (previously measuring 5.8 cm diameter on surveillance imaging 1 year ago). Mid-abdominal US view was obtained (shown here) and revealed AAA now measuring 7.2 cm diameter. Wolfgang Geisser @fentanyl05

Source

https://www.thepocusatlas.com/aorta


Metadata