Peds-Genitourinary - Normal Ovary
Caption
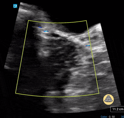
Normal Adolescent Ovary (transabdominal). Contributor: Paul Khalil, MD Nicklaus Children's Hospital @khalil3paul
Normal Adolescent Ovary (transabdominal). Contributor: Paul Khalil, MD Nicklaus Children's Hospital @khalil3paul