Peds-Genitourinary - Torsion of the Appendix Testicle

← Back to List

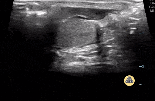
Peds-Genitourinary - Torsion of the Appendix Testicle

Caption

2 yo male present with testicle pain and swelling. POCUS shows torsion of the appendix of the testicle. Please note hyperechoic appendage of testicle. Contributor: Paul Khalil, MD, Nicklaus Children's Hospital, @khalil3paul

Source

https://www.thepocusatlas.com/pedsgenit


Metadata