Peds-Biliary - Dilated Common Bile Duct - Color Doppler (2/3)

← Back to List

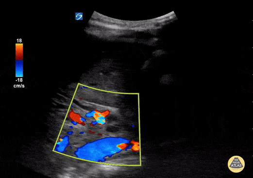
Peds-Biliary - Dilated Common Bile Duct - Color Doppler (2/3)

Caption

11 year old female with abd pain and emesis. Kicked in stomach by horse 6 weeks prior with grade 4 liver lac. Seen a few days ago with reassuring labs and US. Now with rising aminases and bilirubin. POCUS demonstrated a dilated and edematous gallbladder with sludge, and a dilated CBD and the classic 'double barrel' sign. Contributed by: Matthew Moake, MD PhD

Source

https://www.thepocusatlas.com/pedsbiliary


Metadata