Peds-Biliary - Cholelithiasis with Stone in Neck
Caption
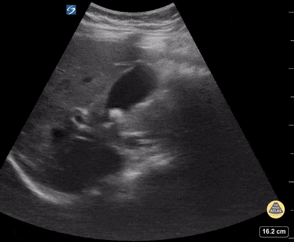
15 y/o M with RUQ pain, found to have cholelithiasis without cholecystitis. Contributor: Kathryn Pade, MD, Rady Children's Hospital San Diego
15 y/o M with RUQ pain, found to have cholelithiasis without cholecystitis. Contributor: Kathryn Pade, MD, Rady Children's Hospital San Diego