Peds-Biliary - Gallbladder Sludge
Caption
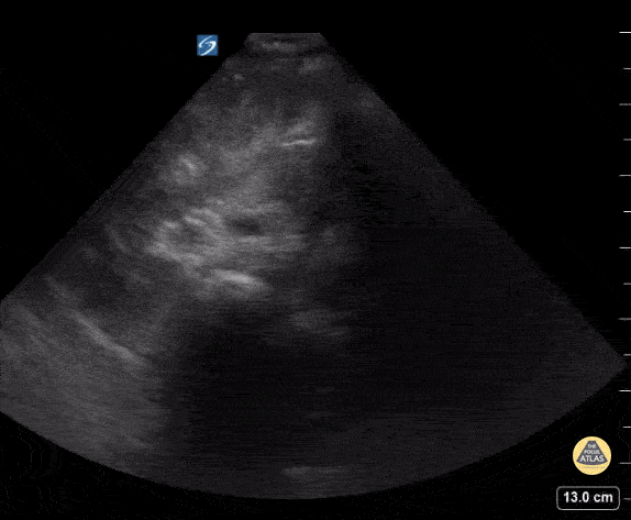
13 y/o M with abdominal pain. POCUS shows gallbladder sludge. Contributor: Kathryn Pade, MD, Rady Children's Hospital San Diego
13 y/o M with abdominal pain. POCUS shows gallbladder sludge. Contributor: Kathryn Pade, MD, Rady Children's Hospital San Diego