Peds-Biliary - Normal Gallbladder, Short Axis
Caption
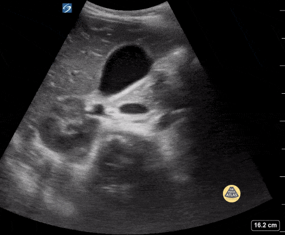
16 yo with abdominal pain. POCUS shows a normal gallbladder in short axis. Contributor: Kathryn Pade, MD, Rady Children's Hospital San Diego
16 yo with abdominal pain. POCUS shows a normal gallbladder in short axis. Contributor: Kathryn Pade, MD, Rady Children's Hospital San Diego