Peds-Biliary - Gallbladder polyp
Caption
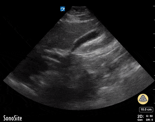
15 yo presents with abdominal pain. POCUS shows a gallbladder polyp of unknown significance, likely incidental finding. Contributor: Kathryn Pade, MD, Rady Children's Hospital San Diego
15 yo presents with abdominal pain. POCUS shows a gallbladder polyp of unknown significance, likely incidental finding. Contributor: Kathryn Pade, MD, Rady Children's Hospital San Diego