Aorta - Aortic Dissection

← Back to List

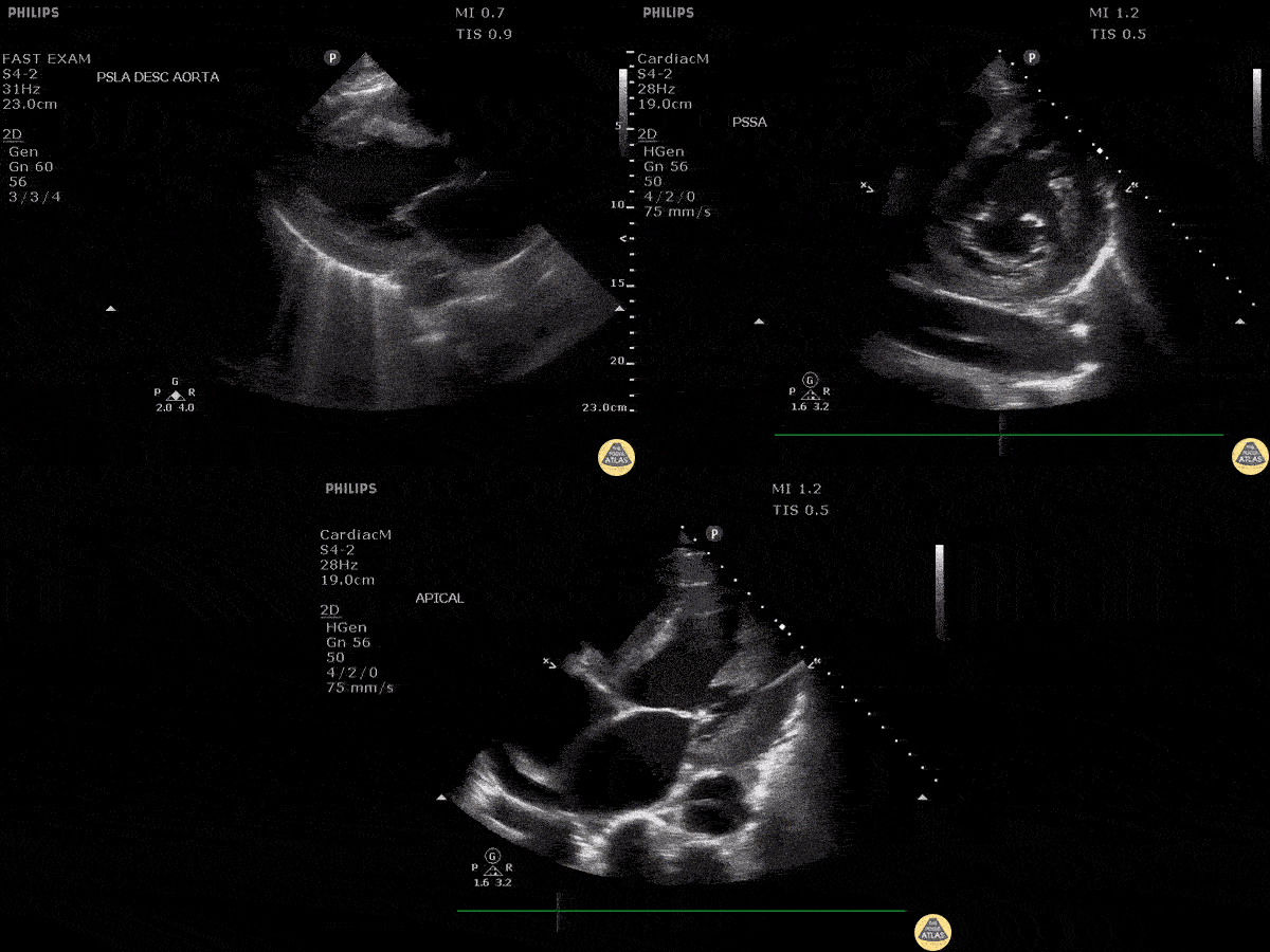
Aorta - Aortic Dissection

Caption

A chest pain received an echo and showed evidence of a dissection in the PLAX, PSAX, and AP4C views within the descending aorta. Image courtesy of Robert Jones DO, FACEP @RJonesSonoEM Director, Emergency Ultrasound; MetroHealth Medical Center; Professor, Case Western Reserve Medical School, Cleveland, OH View his original post here

Source

https://www.thepocusatlas.com/aorta


Metadata