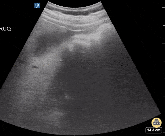
Peds-Biliary - Thickened gallbladder wall with stones

← Back to List

Peds-Biliary - Thickened gallbladder wall with stones

Caption

17 yo M with epigastric and right upper quadrant pain. Unable to tolreate PO. POCUS shows a thickened gallbladder wall with cholelithiasis consistentw tih cholecystitis. Contributor: Kathryn Pade, MD, Rady Children's Hospital San Diego

Source

https://www.thepocusatlas.com/pedsbiliary


Metadata