Peds-Biliary - Thick gallbladder wall

← Back to List

Peds-Biliary - Thick gallbladder wall

Caption

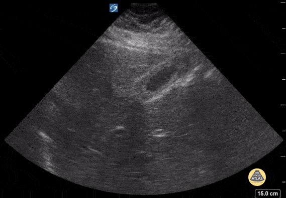
16 y/o F with RUQ pain. POCUS shows a thickened gallbladder wall. In the appropriate setting this could be consistent with cholecystitis though thickening of the gallbladder wall can also be a normal finding following eating a meal. Contributor: Kathryn Pade, MD, Rady Children's Hospital San Diego

Source

https://www.thepocusatlas.com/pedsbiliary


Metadata