Peds-Biliary - Large Gallstone
Caption
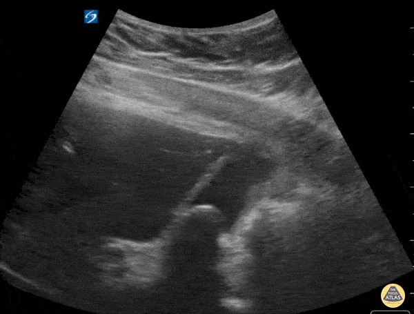
14 year old patient found to have large gallstone. Shown here is long axis view of the gallbladder, notice the shadowing present from the gallstone as the probe is fanned. Kathryn Pade, MD
14 year old patient found to have large gallstone. Shown here is long axis view of the gallbladder, notice the shadowing present from the gallstone as the probe is fanned. Kathryn Pade, MD