Peds-Nerve Blocks - Serratus Anterior Block

← Back to List

Peds-Nerve Blocks - Serratus Anterior Block

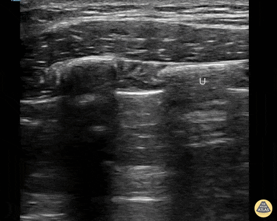
Caption

16 year old with a spontaneous pneumothorax. Serratus anterior block performed prior to chest tube placement. Not needle coming from the left under serratus muscle and above rib. Contributor: Paul Khalil, MD Nicklaus Children's Hospital @khalil3paul

Source

https://www.thepocusatlas.com/pedsnerve-blocks


Metadata