Peds-Nerve Blocks - Posterior Tibial Nerve Block Lidocaine Infiltration

← Back to List

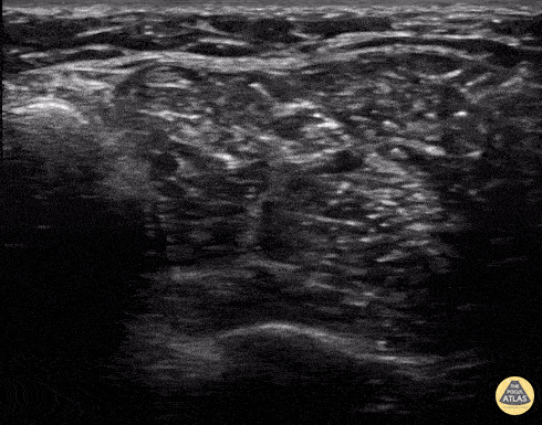
Peds-Nerve Blocks - Posterior Tibial Nerve Block Lidocaine Infiltration

Caption

10 year old came in with laceration to the sole of the foot and likely retained foreign body after stepping on broken glass. A posterior tibial nerve block with ultrasound guidance was performed to provide local anesthesia. This is performed slightly superior to the ankle (where the nerve was best viewed in the patient), using in plane technique with a posterior needle approach. Demonstrated here is the tibial artery/vein dyad, with the tibial nerve located just to the right on the image seen, as hydro-dissection of the nerve is being performed with lidocaine to instill local anesthesia directly deep and adjacent to the nerve. The distal tibia is viewed as the hyperechoic structure deep on the screen. Contributor: Allie Grither, MD, St. Louis Children's Hospital (Washington University in St. Louis), @AGPemMD

Source

https://www.thepocusatlas.com/pedsnerve-blocks


Metadata