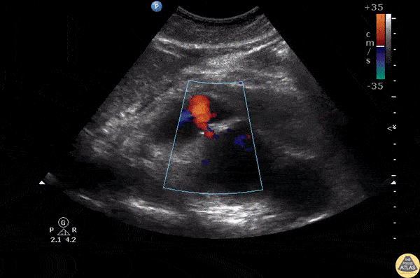
Aorta - Ruptured AAA

← Back to List

Aorta - Ruptured AAA

Caption

Sagittal view of an abdominal aortic aneurysm with a hemorrhage anterior to the aorta. Be sure to distinguish a AAA from a dissection by assessing the abnormal wall motion seen at the site of rupture. Image courtesy of Robert Jones DO, FACEP @RJonesSonoEM Director, Emergency Ultrasound; MetroHealth Medical Center; Professor, Case Western Reserve Medical School, Cleveland, OH View his original post here

Source

https://www.thepocusatlas.com/aorta


Metadata