Peds-Nerve Blocks - Fascia Iliaca Nerve Block

← Back to List

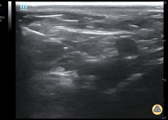
Peds-Nerve Blocks - Fascia Iliaca Nerve Block

Caption

Fascia iliaca nerve block for 3yo M with left femur fracture Contributor: Julia Brant, MD, Children's Hospital Colorado, @pedipocus

Source

https://www.thepocusatlas.com/pedsnerve-blocks


Metadata