Peds-Soft Tissue - Parotitis
Caption
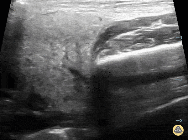
6 yo with right sided facial swelling. No fever. POCUS shows parotitis without stone. Contributor: Paul Khalil, MD Nicklaus Children's Hospital @khalil3paul
6 yo with right sided facial swelling. No fever. POCUS shows parotitis without stone. Contributor: Paul Khalil, MD Nicklaus Children's Hospital @khalil3paul