Peds-Soft Tissue - Retained Splinter

← Back to List

Peds-Soft Tissue - Retained Splinter

Caption

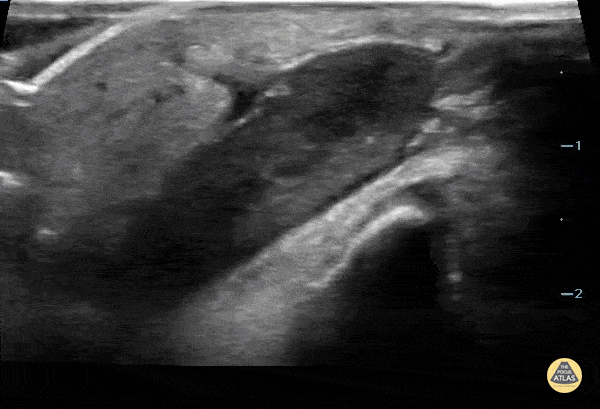
12 yo male with a splinter to the leg that was partially removed. He presented to the ED with redness and swelling of the site. POCUS shows retained FB (wood) with surrounding infection. Contributor: Paul Khalil, MD Nicklaus Children's Hospital @khalil3paul

Source

https://www.thepocusatlas.com/pedssoft-tissue


Metadata