Peds-Soft Tissue - Glass Foreign Body

← Back to List

Peds-Soft Tissue - Glass Foreign Body

Caption

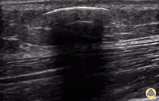
11 year old came in with bleeding and pain in the leg after jumping on the bed. On exam there was a small 5 mm skin defect in the left lateral lower leg. POCUS was performed with a high frequency transducer in long axis adjacent to the skin defect. Identified was normal appearing heterogenous subcutaneous tissue anterior to normal appearing striated muscle. Both were partially obscured by a smooth, semi-rounded hyperechoic arc with dense posterior shadowing and reverberation artifact, located just deep to the dermis, concerning for a dense foreign object. The existing skin defect was widened slightly, and a shard of glass was removed. Contributor: Allie Grither, MD, St. Louis Children's Hospital (Washington University in St. Louis), @AGPemMD

Source

https://www.thepocusatlas.com/pedssoft-tissue


Metadata