Peds-Soft Tissue - Necrotizing Fasciitis

← Back to List

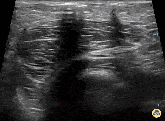
Peds-Soft Tissue - Necrotizing Fasciitis

Caption

11 yo F presents arm pain after accidentally stabbing herself in the arm with a hair pin. On exam she had erythema and crepitus of the site. POCUS shows dirty shadow consistent with necrotizing fasciitis. She was taken to the OR for debridement. Contributor: Paul Khalil, MD Nicklaus Children's Hospital @khalil3paul

Source

https://www.thepocusatlas.com/pedssoft-tissue


Metadata