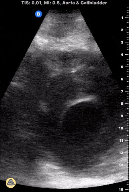
Aorta - Large AAA Rupture

← Back to List

Aorta - Large AAA Rupture

Caption

This is a clip demonstrating a large abdominal aortic aneurysm with significant intramural thrombus. Signs of rupture can be appreciated near the right lower portion of the screen as there is disruption of the aorta wall. Heterogeneity within the intramural thrombus can also be an indicator of rupture. Michael Macias, MD

Source

https://www.thepocusatlas.com/aorta


Metadata