Peds-MSK - Normal Ankle

← Back to List

Peds-MSK - Normal Ankle

Caption

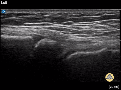
5y female presenting with swelling, redness, and limp to the R foot. Contralateral normal side imaged for comparison. The normal tibiotalar joint in the long axis is seen here. Since the patient skeletally immature, the distal tibial physis can also be seen. Contributor: Matthew Moake, MD PhD

Source

https://www.thepocusatlas.com/pedsmsk


Metadata