Peds-MSK - Sternal Fracture

← Back to List

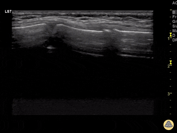
Peds-MSK - Sternal Fracture

Caption

An 8 year old female presented with chest pain after a fall out of a bouncy house at her neighborhood block party. She has notable bony tenderness to the anterior chest wall over the sternum. POCUS revealed normal lung slide, but on evaluation of the sternum, a fracture was noted. In this clip the fracture is seen on the right as cortical disruption with surrounding trace hypoechoic hematoma formation. On the left side of the screen a normal growth plate is noted. Image courtesy of Dr. Paul Khalil Twitter: @khalil3paul

Source

https://www.thepocusatlas.com/pedsmsk


Metadata