Peds-MSK - Femur Fracture- Case Series, Short Axis

← Back to List

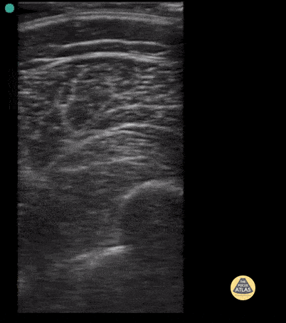
Peds-MSK - Femur Fracture- Case Series, Short Axis

Caption

Short axis view of 9 year old male with spiral femur fracture with displacement. Note cortical disruption seen at about 5-6 cm in both long and short axis. Case series 1 of 2 Contributor: Antonio Riera, MD

Source

https://www.thepocusatlas.com/pedsmsk


Metadata