Peds-MSK - Skull Fracture

← Back to List

Peds-MSK - Skull Fracture

Caption

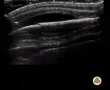
9 month-old presented after a 4 foot fall. There was a small frontal hematoma on exam without step off. POCUS was performed with a high frequency transducer over the area of hematoma, and demonstrates the skull as a hyperechoic linear structure, with nondisplaced discontinuity, indicative of a nondisplaced skull fracture. There is also a hypoechoic collection just anterior to the skull, suggestive of an associated hematoma. Contributor: Allie Grither, MD, St Louis Children's Hospital (Washington University in St. Louis), @AGPemMD

Source

https://www.thepocusatlas.com/pedsmsk


Metadata