Peds-MSK - Sprained Ankle
Caption
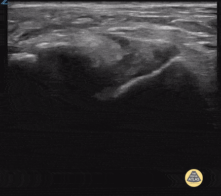
17 yo male inverted his ankle playing basketball. POCUS shows partial tear of the ATFL. Contributor: Paul Khalil, MD Nicklaus Children's Hospital @khalil3paul
17 yo male inverted his ankle playing basketball. POCUS shows partial tear of the ATFL. Contributor: Paul Khalil, MD Nicklaus Children's Hospital @khalil3paul