Peds-MSK - Newborn Clavicle Fracture

← Back to List

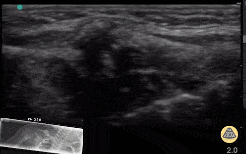
Peds-MSK - Newborn Clavicle Fracture

Caption

2 week old with clavicle fracture from birth trauma. Note the rounded, bony protrusion with disruption of the cortex seen by ultrasound and callous formation seen on x-ray. Contributor: Antonio Riera, MD

Source

https://www.thepocusatlas.com/pedsmsk


Metadata