Peds-MSK - Ping Pong Fracture
Caption
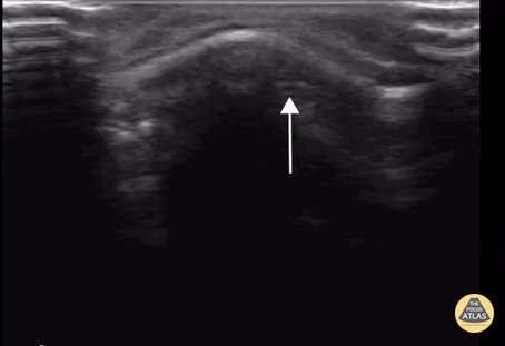
11 month old with depressed frontal ping pong fracture. These fractures occur when the bone is soft enough to indent rather than outright break. Contributor: Antonio Riera, MD
11 month old with depressed frontal ping pong fracture. These fractures occur when the bone is soft enough to indent rather than outright break. Contributor: Antonio Riera, MD