Peds-MSK - Parietal Skull Fracture
Caption
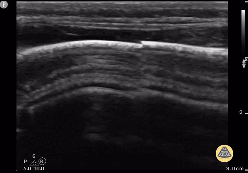
9 month old with non-displaced parietal skull fracture. Note the diagonal jagged appearance of bony overlap. Contributor: Antonio Riera, MD
9 month old with non-displaced parietal skull fracture. Note the diagonal jagged appearance of bony overlap. Contributor: Antonio Riera, MD