Peds-MSK - Non-displaced parietal skull fracture (Case Series 1/2)

← Back to List

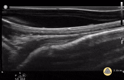
Peds-MSK - Non-displaced parietal skull fracture (Case Series 1/2)

Caption

4 week old with non displaced parietal fracture using water filled glove as stand off. (Case Series 1/2) Contributor: Antonio Riera, MD

Source

https://www.thepocusatlas.com/pedsmsk


Metadata