Aorta - Faint Dissection Flap in Descending Aorta

← Back to List

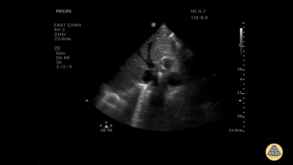
Aorta - Faint Dissection Flap in Descending Aorta

Caption

Patient presented with severe chest pain and concerning ECG without STEMI. A faint dissection flap can be seen in the aorta on this transverse view in the subcostal region. Image courtesy of Robert Jones DO, FACEP @RJonesSonoEM Director, Emergency Ultrasound; MetroHealth Medical Center; Professor, Case Western Reserve Medical School, Cleveland, OH View his original post here

Source

https://www.thepocusatlas.com/aorta


Metadata