Peds-MSK - Septic Elbow Effusion

← Back to List

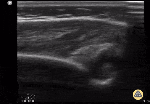
Peds-MSK - Septic Elbow Effusion

Caption

8 month old with arm swelling and fever. Longitudinal view of elbow with fluid collection displacing the posterior fat pad. Final diagnosis was septic arthritis of the elbow. Contributor: Antonio Riera, MD, Yale University School of Medicine

Source

https://www.thepocusatlas.com/pedsmsk


Metadata