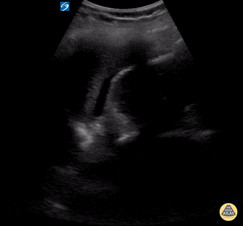
Peds-Trauma - eFAST Positive LUQ
Caption
Pediatric patient with blunt abdominal trauma and free fluid in LUQ. Contributor: Peter Gutierrez, MD FAAP FACEP; Children's Healthcare of Atlanta; @pocuspete
Pediatric patient with blunt abdominal trauma and free fluid in LUQ. Contributor: Peter Gutierrez, MD FAAP FACEP; Children's Healthcare of Atlanta; @pocuspete