Peds-Trauma - eFAST Positive RUQ
Caption
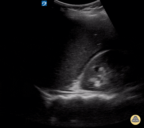
Child with blunt abdominal trauma and free fluid in RUQ. Contributor: Peter Gutierrez, MD FAAP FACEP; Children's Healthcare of Atlanta; @pocuspete
Child with blunt abdominal trauma and free fluid in RUQ. Contributor: Peter Gutierrez, MD FAAP FACEP; Children's Healthcare of Atlanta; @pocuspete