Aorta - Bilateral Iliac Artery Aneurysms

← Back to List

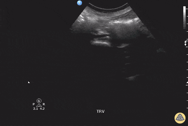
Aorta - Bilateral Iliac Artery Aneurysms

Caption

This patient originally complained of right back pain as well as numbness along the thigh and knee. Starting from the abdominal artery, gliding inferiorly will eventually reveal the bifurcation of the abdominal aorta into the left and right common iliac arteries. In this scan, you can see both iliac arteries have enlarged diameters, indicating aneurysms in both. Image courtesy of Robert Jones DO, FACEP @RJonesSonoEM Director, Emergency Ultrasound; MetroHealth Medical Center; Professor, Case Western Reserve Medical School, Cleveland, OH View his original post here

Source

https://www.thepocusatlas.com/aorta


Metadata