Peds-Trauma - Positive (abnormal) Pelvic View

← Back to List

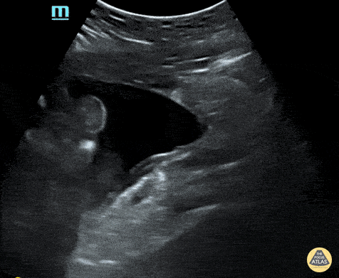
Peds-Trauma - Positive (abnormal) Pelvic View

Caption

Sagittal view of the pelvis showing free fluid. Contributor: Maher M. Abulfaraj, MD, @mahermabulfaraj

Source

https://www.thepocusatlas.com/pedstrauma


Metadata