← Back to List
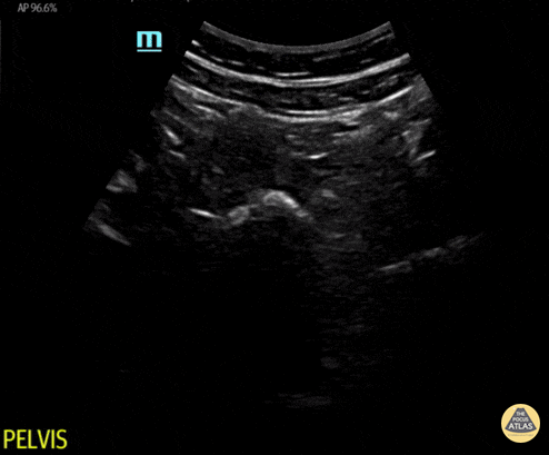
Normal transverse pelvis view. Contributor: Maher M. Abulfaraj, MD, @mahermabulfaraj
https://www.thepocusatlas.com/pedstrauma
View: Unspecified Parasternal Long Axis Parasternal Short Axis Apical Four-Chamber Subcostal Four-Chamber Subcostal Inferior Vena Cava Right Upper Quadrant Left Upper Quadrant Suprapubic Longitudinal Suprapubic Transverse Subxiphoid Anterior Thoracic Phrenic
Normal:
Tags:
Notes: